首页 > 热点

牙床萎缩 - 搜狗百科

热点 2026-03-16 菜科探索 +
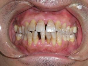
简介:牙床萎缩主要是龈缘部分存在异物又长期得不到清理,细菌滋生刺激长期存在所致;

另外随着年龄的增长也会或多或少发生萎缩。

再就是..._新浪网

【菜科解读】

  牙床萎缩主要是龈缘部分存在异物又长期得不到清理,细菌滋生刺激长期存在所致;

另外随着年龄的增长也会或多或少发生萎缩。

再就是牙科手术不当留下的后遗症。

保持清洁是延缓牙龈萎缩的最有效的方法,定期洗牙亦显得尤为重要。

炎症性的牙龈萎缩,主要表现为牙龈红肿胀痛,刷牙时常见出血。

而老年牙龈萎缩常使裸露了的牙极对冷热的温度变化及酸性食物等异常敏感,妨碍进食,降低生活质量,尢应注意防治。

  分享到

牙床萎缩主要是龈缘部分存在异物又长期得不到清理,细菌滋生刺激长期存在所致;

另外随着年龄的增长也会或多或少发生萎缩。

再就是牙科手术不当留下的后遗症。

保持清洁是延缓牙龈萎缩的最有效的方法,定期洗牙亦显得尤为重要。

炎症性的牙龈萎缩,主要表现为牙龈红肿胀痛,刷牙时常见出血。

而老年牙龈萎缩常使裸露了的牙极对冷热的温度变化及酸性食物等异常敏感,妨碍进食,降低生活质量,尢应注意防治。

西医学名

  牙床萎缩

  展开

所属科室

  五官科 - 口腔科

  展开

主要症状

  红肿

  展开

传染性

  无传染性

  展开

中医学名

  牙床萎缩

  展开

发病部位

  牙床

  展开

主要病因

  细菌感染

  展开

72只老虎集中死亡

泰国农业与合作社部畜牧司21日就清迈发生的老虎集中死亡事件发布通报称,2月8日至18日期间,共有72只孟加拉虎相继死亡,其中清迈湄林园区21只、清迈湄登园区51只。

通报称,畜牧司会同清迈府畜牧部门自2月13日起进驻现场,开展病理取样和实验室检测。

检测结果显示,未发现甲型流感病毒基因,已排除禽流感感染可能。

经检验确认,此次老虎集中死亡主要由犬瘟热病毒与支原体细菌合并感染所致。

官方解释称,犬瘟热属于高度传染性病毒疾病,可通过直接接触分泌物及空气传播,对动物的呼吸系统、消化系统和神经系统造成严重损害;

支原体细菌则通过蜱虫、跳蚤及畜舍苍蝇传播,可引发溶血性贫血并破坏红细胞。

在圈养环境下,动物长期处于一定压力状态,叠加气候骤变等应激因素,病毒与细菌形成叠加感染,病情迅速恶化,死亡风险显著上升。

畜牧司强调,上述疾病不属于人畜共患病,不会由动物传播至人类。

园区工作人员已全部完成健康检查,结果均为正常。

畜牧司司长宋川表示,已责令相关园区采取严格防控措施,包括对动物围栏进行全面清洁和消毒,将患病个体与健康群体隔离,并为存栏老虎制定疫苗接种计划,以降低进一步传播风险。

截至目前,清迈两处园区孟加拉虎存栏情况分别为清迈湄林园区44只、湄登园区130只。

来源:中国新闻社、观知政事

牙周萎缩 - 搜狗百科

  牙周萎缩是指全口牙广泛的龈缘与牙槽骨同时退缩牙根暴露但无明显炎症和创伤那牙周萎缩是怎么回事?随年龄的增长牙龈可出现生理性退缩即产生老年性萎缩;

还有一种病因不明的早老性萎缩即没有达到高龄而出现全口牙周组织均匀地退缩;

由于牙周组织长期遭受机械刺激可造成机械性的牙周萎缩常见的机械刺激如刷牙不当牙膏颗粒太粗修复体设计不良压迫龈缘牙周手术后等;

当牙齿没有对牙合功能如错位牙对颌牙缺失未及时修复偏侧咀嚼等牙周组织缺少必要的生理刺激可使牙周膜变窄牙槽骨疏松而出现废用性牙周萎缩。

[1]   牙周萎缩   词条已锁定   分享到   牙周萎缩是指全口牙广泛的龈缘与牙槽骨同时退缩牙根暴露但无明显炎症和创伤那牙周萎缩是怎么回事?随年龄的增长牙龈可出现生理性退缩即产生老年性萎缩;

还有一种病因不明的早老性萎缩即没有达到高龄而出现全口牙周组织均匀地退缩;

由于牙周组织长期遭受机械刺激可造成机械性的牙周萎缩常见的机械刺激如刷牙不当牙膏颗粒太粗修复体设计不良压迫龈缘牙周手术后等;

当牙齿没有对牙合功能如错位牙对颌牙缺失未及时修复偏侧咀嚼等牙周组织缺少必要的生理刺激可使牙周膜变窄牙槽骨疏松而出现废用性牙周萎缩。

[1] 常见症状  牙槽骨高度降低,牙龈退缩,牙颈部龋,根面龋   展开常见发病部位  牙周   展开英文名称  periodontal atrophy   展开常见病因  牙周组织长期受到损伤刺激   展开就诊科室  牙体牙髓科、口腔科   展开

牙床萎缩 - 搜狗百科

点击下载文档

格式为doc格式